Breaking News:

Berita Viral

300 BATU GINJAL Ditemukan di Tubuh Gadis 20 Tahun yang Tak Suka Minum Air Hanya Mau Bubble Tea

Lebih dari 300 batu ginjal berhasil diangkat dari seorang gadis berusia 20 tahun di Taiwan.

Penulis: Sinta Manila
Editor: Sinta Manila
ETtoday
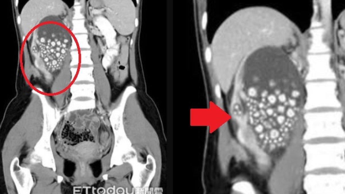
Lebih dari 300 batu ginjal berhasil diangkat dari seorang wanita berusia 20 tahun. 

TRIBUNNEWSMAKER.COM - Lebih dari 300 batu ginjal berhasil diangkat dari seorang gadis berusia 20 tahun di Taiwan.

Penemuan dokter ini cukup mengagetkan manakala si gadis mengeluh sakit punggung dan demam.

Orang tuanya langsung melarikan ke rumah sakit dan dia diperiksa menggunakan USG.

Baca juga: Ini Anak! Wanita Muda Syok Dikira Sakit Batu Ginjal Ternyata Melahirkan, Panik Tak Merasa Hamil

Sebagaimana yang dilansir dari metro.co.uk, seorang wanita berusia 20 tahun 'tidak suka minum air' berakhir dengan lebih dari 300 batu ginjal yang harus diangkat.

Gadis ini lebih menyukai bubble tea daripada air putih.

Lebih dari 300 batu ginjal berhasil diangkat dari seorang wanita berusia 20 tahun.
Lebih dari 300 batu ginjal berhasil diangkat dari seorang wanita berusia 20 tahun. (ETtoday)

Namanya, Xiao Yu dia dirawat di rumah sakit setelah mulai menderita demam dan sakit punggung parah minggu lalu.

Tapi apa yang dokter temukan ketika dia melakukan USG benar-benar meengejutkan.

Anda akan merasa mual, juga bisa membuat Anda muntah-muntah.

Mereka menemukan ginjalnya bengkak parah dengan ratusan batu di dalamnya yang tampak seperti ‘roti kukus kecil’.

Baca juga: Resep Obat Herbal Penghancur Batu Ginjal ala dr Zaidul Akbar, Minuman Sehat Bahan Dasar Alang-alang

CT scan menemukan bahwa batu tersebut berukuran antara 5mm dan 2cm.

Sementara hasil tes darah menunjukkan dia mengalami peningkatan jumlah sel darah putih.

CT scan menemukan bahwa batu tersebut berukuran antara 5mm dan 2cm
CT scan menemukan bahwa batu tersebut berukuran antara 5mm dan 2cm (ETtoday)

Dokter melakukan operasi pada Xiao untuk menghilangkan batu tersebut di pusat Medis Chi Mei di kota Tainan di Taiwan.

Nona Xiao 'lebih menyukai bubble tea' dan 'tidak menikmati air minum', berdasarkan laporan outlet media lokal EThari.

Ahli bedah Dr Lin Caiyang, yang melakukan prosedur tersebut, mengatakan batu ginjal dapat disebabkan oleh beberapa hal.

Salah satunya kurangnya asupan air atau pola makan yang tinggi kalsium dan protein.

Baca juga: Kenali Penyakit Batu Ginjal, Apa Penyebab hingga Gejalanya, Anang Hermansyah Sampai Harus Operasi

Halaman 1/2
Tags:
batu ginjalbubblebobaminum air putih
Rekomendasi untuk Anda

BERITA TERKINI

© 2025 TRIBUNnews.com Network,a subsidiary of KG Media.
All Right Reserved