Tips Kesehatan
Apa Penyebab Resesi Gusi dan Bagaimana Cara Mengatasinya? Simak Jawaban dari dr Stephani Dwiyanti
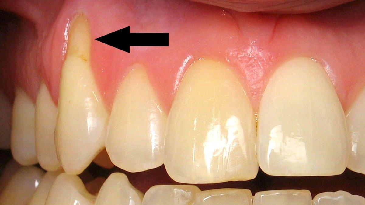
Resesi gusi adalah gusi yang melorot sehingga menampakkan akar gigi, apa penyebabnya dan bagaimana mengatasinya?
Penulis: Delta Lidina
Editor: Delta LP
TRIBUNNEWSMAKER.COM - Resesi gusi sangat menganggu penampilan seseorang.
Terutama bagi mereka yang kerap berhadapan dan berinteraksi dengan orang lain.
Kepercayaan diri selalu datang dari kondisi dari rongga mulut.
Tak hanya bau mulut saja yang selalu jadi masalah, namun juga kerapiah gigi.
Seseorang pasti akan menilai bentuk dan kondisi gigi dari lawan bicaranya.
Resesi gusi menjadi satu di antara kendala rongga mulut yang bisa menyerang siapa saja.
Pengertian resesi gusi
Gum recession atau resesi gusi juga dikenal sebagai resesi gingiva.
Kondisi ini terjadi ketika jaringan gusi menjauh dari giginya sehingga permukaan akar gigi terlihat.
Hal ini menyebabkan gigi sensitif dan bila tidak diobati kelak gigi bisa tanggal sewaktu-waktu karena pijakannya tak kuat.
Doker Gigi Spesialis Periodonsia, drg. Stephani Dwiyanti, Sp.Perio memiliki pengertiannya sendiri mengenai resesi gusi ini.
Menurutnya, resesi gusi bisa disebut sebagai gusi turun.
"Harusnya gusi itu menutupi akar gigi kita, ketika gusi kita turun, posisi gusi menjauhi perbatasan mahkota (gigi) dengan akar," kata Stephani Dwiyanti.
Kondisi ini membuat gigi terlihat lebih panjang dan tampak lebih tua.
Baca juga: Gusi Tiba-tiba Berdarah saat Shalat, Apakah Batal? Buya Yahya Beri Penjelasan yang Harus Dilakukan
Surutnya gusi ini memakan waktu yang cukup lama dan kronik, sehingga mungkin tidak akan disadari bila gusi sudah surut.
Sumber: Tribunnewsmaker.com
| Apa Penyebab Resesi Gusi dan Bagaimana Cara Mengatasinya? Simak Jawaban dari dr Stephani Dwiyanti |
|
|---|
| Bahaya Filler Payudara yang Menjamur meski Dilarang, dr Listya Paramita Beri Tips Perawatan Aman |
|
|---|
| TERTAWA dan 4 Cara Mudah Ini Bisa Menjaga Kesehatan Jantung di Usia Muda, Demi Hindari Stres |
|
|---|
| Rasakan Perubahan dalam Tubuh ketika Rutin Konsumsi Bawang Putih Panggang, Imunitas Makin Terjaga |
|
|---|
| Jaga Bentuk Tubuh dengan 5 Buah Ini, Konsumsi Tiap Hari agar Tetap Langsing |
|
|---|
:quality(30):format(webp):focal(0.5x0.5:0.5x0.5)/newsmaker/foto/bank/originals/Penyebab-dan-cara-mengatasi-resesi-gusi.jpg)