Berita Viral
30 Tahun Tahan Bersin, Pria Rasakan Sangat Kesakitan di Bagian Tubuh Ini, Tercengang saat Diperiksa
Seorang harus dirawat di rumah sakit setelah menahan bersin dan akhirnya membuat lubang menembus tenggorokannya.
Penulis: Sinta Manila
Editor: Sinta Manila
TRIBUNNEWSMAKER.COM - Bersin memang ada adabnya, akan tetapi sebaiknya kita tidak menahan bersin hanya karena malu.
Sebab, bersin yang ditahan untuk keluar rupanya dapat menimbulkan masalah besar dan sangat fatal.
Karena seseorang yang pernah melakukan menahan bersin ini harus dilarikan ke Unit Gawat Darurat (UGD) karena menahan bersin.
Baca juga: Kerap Terlewat, Berikut 3 Adab dalam Islam Saat Bersin, Termasuk Larangan Mengeraskan Suara
Seorang di Inggris harus dirawat di rumah sakit setelah menahan bersin dan akhirnya membuat lubang menembus tenggorokannya.
Dalam laporan kasus yang diterbitkan pada tahun 2017 lalu, melansir dari Ladbible.com, pengalaman pria ini menjadi yang dibicarakan.
Dalam laporan tersebut, para dokter melaporkan bahwa, pria berusia 34 tahun yang sebelumnya bugar dan sehat.
Dia kemudian datang ke layanan darurat karena perubahan suara setelah bersin yang kuat.
Baca juga: Sempat Mualaf, Artis Ini Putuskan Lepas Hijab, Kembali ke Keyakinan Awal, Singgung Kesehatan Mental

Rupanya suaranya mendadak berubah aneh saat berusaha menghentikan bersin yang seharusnya dia keluarkan.
"Dia menggambarkan sensasi meletup di lehernya dan beberapa leher bilateral membengkak setelah dia mencoba menghentikan bersin dengan mencubit hidung dan menutup mulutnya," lanjut laporan itu.
Pria itu kemudian mulai memperhatikan beberapa gejala aneh termasuk rasa sakit saat menelan juga perubahan suaranya.
Selain itu sensasi meletup dan bengkak di lehernya membuatnya mencari pertolongan medis.
Baca juga: 7 Manfaat Konsumsi Susu Beruang, Termasuk Netralkan Racun, Tangkal Osteoporosis hingga Cegah Flu
Kasus ini bahkan lebih aneh, mengingat pria itu menyangkal telah makan sesuatu yang tajam, bahkan dia tidak demam atau ada tanda-tanda gangguan pernapasan.
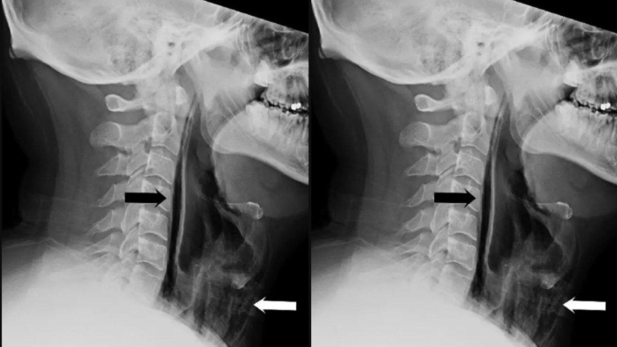
Setelah pemeriksaan fisik, tenaga kesehatan menemukan bengkak dan nyeri di lehernya dengan sinar-X.

Kemudian mengungkapkan bahwa garis-garis udara telah terperangkap di bagian jaringan tenggorokan pria itu.
Kantung udara yang terperangkap ini ada, berarti pria itu telah merobek tenggorokannya sendiri.
Para penulis menambahkan bahwa itu adalah jenis cedera yang biasanya diakibatkan oleh trauma, pembedahan, atau infeksi.
Salah satu dokter yang menulis laporan itu, Wanding Yang, mengatakan kepada CNN pada saat itu.
Baca juga: ASYIK Memancing Berujung Petaka, Pria Ini Panik Tersedak Gegara Ikan Hidup Nyangkut di Tenggorokan

"Pria berusia 34 tahun ini mengatakan dia selalu berusaha menahan bersinnya karena menurutnya sangat tidak higienis untuk bersin ke atmosfer atau ke lingkungan seseorang.
"Itu berarti dia menahan bersin selama 30 tahun terakhir atau lebih, tapi kali ini berbeda efeknya.
Untungnya, itu adalah perforasi yang sangat kecil. Dia tidak memerlukan operasi apa pun."
Untungnya, pasien pulih setelah menggunakan selang makanan dan diberi antibiotik.
Laporan tersebut mencatat bahwa gejalanya secara bertahap teratasi selama masuk.
Pada tindak lanjut dua bulan, pria itu tidak menunjukkan kekambuhan atau komplikasi lebih lanjut.
Jadi sebaiknya, jangan menahan bersin jika ingin keluar jika tidak mau menanggung efek fatal.
(TribunNewsmaker.com/MNL)
Sumber: Tribunnewsmaker.com
Keluarga Santri Tewas di Ponpes Al Khoziny Ikhlas & Tolak Santunan, Polisi Tetap Selidiki Cari Bukti |
![]() |
---|
Jasad Royhan Cepat Diketahui Berkat Tanda Lahir, Ayah Ikhlas Anaknya Jadi Korban Ponpes Al-Khoziny |
![]() |
---|
Tangis Histeris Sukarti Ratapi Jenazah Sang Anak Aziz Santri Ponpes Al Khoziny, Pingsan Berkali-kali |
![]() |
---|
Founder Tukangku.co Bongkar 'Dosa' Penyebab Bangunan Ponpes Al Khoziny Roboh, Temuannya Viral |
![]() |
---|
Ucapan Terakhir Praka Zaenal yang Gugur di HUT TNI, Pecah Tangis Ibu, Sempat Ditelepon: Ya Allah! |
![]() |
---|